こんにちは。愛知県豊橋市にある三宅歯科医院です。
歯ぎしりは、自分では気づきにくい癖の一つです。ストレスや緊張が原因とされることが多いですが、実は歯並びの悪さも歯ぎしりを助長する要因の一つであるとされています。歯並びが悪いと噛み合わせに乱れが生じ、無意識のうちに歯ぎしりをすることがあるのです。
歯ぎしりを繰り返すと、歯や歯周組織に多大な影響を及ぼす可能性があります。
この記事では、歯並びと歯ぎしりの関係について解説した後で、歯ぎしりの種類や歯ぎしりが原因で起こりうる歯のトラブル、治療法などについても詳しく解説します。
目次
歯ぎしりとは

歯ぎしりとは、上下の歯を強く擦り合わせたり噛みしめたりする癖のことです。寝ているときだけではなく、日中にも無意識に行われていることがあります。
歯ぎしりは、噛み合わせの異常や生活習慣、過度なストレスなどが原因で起こると考えられています。仕事や人間関係、家庭内のトラブルなどが精神的な負担となり、無意識のうちに歯ぎしりを引き起こすことがあります。これが長期化すると、歯や顎に慢性的な負担がかかるかもしれません。
また、歯並びや噛み合わせの異常も重要な要素です。歯並びの乱れや詰め物・被せ物の高さの不具合などによって上下の歯が正しく噛み合わない場合、無理に噛み合わせようとする反応が起こって歯ぎしりを誘発するのです。歯ぎしりは単なる癖として片付けられがちですが、実際には口腔内に大きな負担をかける問題の1つなのです。
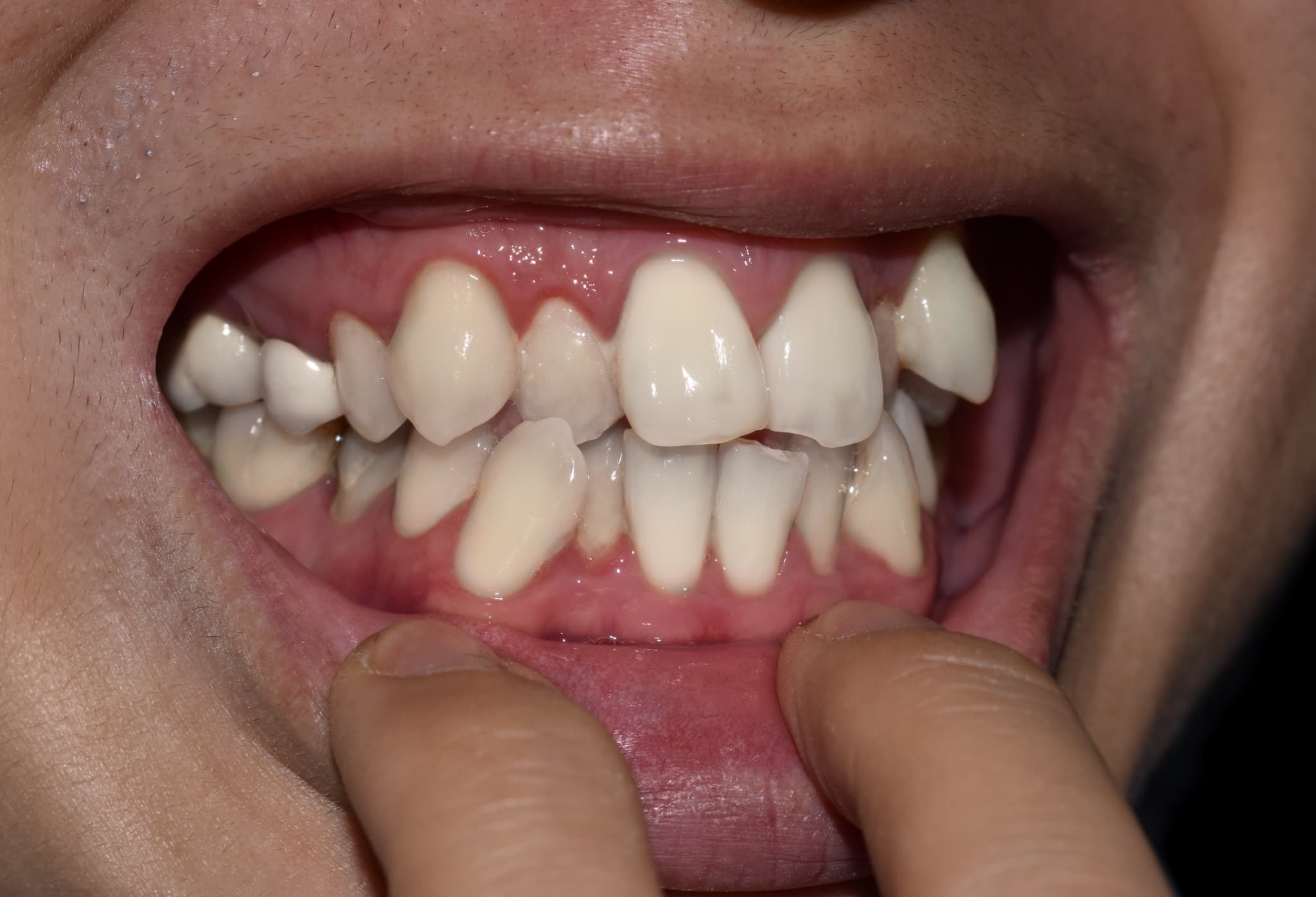
歯並びが悪いと歯ぎしりをしやすくなる?

歯ぎしりの原因にはさまざまなものがありますが、歯並びの悪さもその一つとされています。歯並びが悪いと上下の歯が正しく噛み合わず、顎にかかる力が均等ではなくなります。この影響で顎の筋肉に余計な緊張が生じやすくなり、無意識のうちに歯ぎしりを引き起こすことがあるのです。
また、歯ぎしりによって噛み合わせが変わると歯ぎしりがさらに激しくなることもあります。そのため、歯並びが悪いと自覚している方は、歯ぎしりの症状が出ていないかどうかも含めて歯科医院で一度チェックを受けることが大切です。
歯ぎしりの種類

一口に歯ぎしりといっても、その動きや力のかかり方にはいくつかのタイプがあります。大きくグラインディング、クレンチング、タッピングの3つに分けられ、それぞれ影響や治療法が異なります。
以下、それぞれの特徴を紹介します。
グラインディング
グラインディングは、上下の歯を強くこすり合わせるタイプの歯ぎしりです。夜間に多くみられ、ギリギリと音を立てることが特徴です。この動きによって歯の表面がすり減り、噛み合わせのズレを引き起こすことがあります。
クレンチング
クレンチングは、上下の歯を強く噛みしめるタイプの歯ぎしりです。ギリギリという音は鳴らないため、本人も周囲も気づきにくい傾向があります。このタイプは、集中しているときやストレスを感じているときに無意識に発生することが多く、就寝中だけでなく起きている間にも見られるのが特徴です。
歯や顎への過度な負担が続くと、慢性的な痛みや不調につながるおそれがあります。
タッピング
タッピングは、上下の歯をカチカチと連続的に噛み合わせる動きが特徴で、他の歯ぎしりのタイプに比べて音が目立ちます。睡眠時だけではなく、日中にも見られることがあります。
他のタイプと比較すると歯や顎への負担は少ないとされていますが、繰り返し行われることで歯に小さな損傷を引き起こす可能性があります。
歯ぎしりが原因で起こりうる歯のトラブル

歯ぎしりが引き起こす問題は、噛み合わせを悪くすることだけではありません。ここでは、歯ぎしりが原因で起こりうる口腔内のトラブルを紹介します。
歯の破損・すり減り
歯ぎしりによって歯に強い力が繰り返し加わると、歯の表面が徐々にすり減っていきます。これにより、歯の高さが低くなったり詰め物や被せ物が破損したりすることがあります。
歯周病の進行と歯の喪失
歯ぎしりは歯そのものだけではなく、歯を支える歯周組織にも悪影響を与えます。強い力が長時間にわたって加わると、歯槽骨にも過度な負荷がかかり、歯周組織が損傷を受けやすくなります。
もともと歯周病がある人はその進行が加速し、歯がぐらついたり最終的には抜け落ちたりするリスクが高まります。歯周病の治療中に歯ぎしりの癖が続いていると、治療効果が十分に得られない可能性もあります。
顎関節への負担増加
歯ぎしりによる持続的な圧力は、顎関節にも影響を及ぼします。顎関節は口の開閉運動をスムーズに行うための重要な部位です。歯ぎしりによって生じる過度な力によって負担がかかると、顎の関節や周囲の筋肉に炎症が起こることがあります。
これにより、口が開けにくくなったり、カクカクと音が鳴るようになったりすることがあります。また、慢性的な顎関節症に発展した場合には、強い痛みや頭痛、肩こりなどの症状が現れることもあります。
詰め物や被せ物の破損・変形
歯に装着された詰め物(インレー)や被せ物(クラウン)も、強い歯ぎしりの力にさらされると破損・変形することがあります。費用をかけて作った補綴物が短期間で壊れると、経済的な負担も大きくなります。そのため、ナイトガードの装着や咬合調整によって、人工物へのダメージを予防することが重要です。
歯ぎしりを改善する方法

歯ぎしりによる影響を止めるためには、根本的な原因を理解し、それに応じた対策を取ることが大切です。ここでは、歯ぎしりの改善方法について解説します。
矯正治療
歯並びが悪いことによって歯ぎしりが起こっている場合には、矯正治療が有効な改善方法になります。噛み合わせが整えば、歯や顎、筋肉への負担が軽減され、歯ぎしりが自然と減少することがあります。
大人になってからでも矯正は可能です。ワイヤー矯正やマウスピース矯正などの種類があり、症状やライフスタイルに合わせて選択できます。
歯並びが気になる方や慢性的な歯ぎしりにお悩みの方は、一度矯正治療を検討しても良いでしょう。
スプリント療法
歯ぎしりを改善するために、歯科医院で行われる代表的な治療法のひとつにスプリント療法があります。これは、専用のマウスピース(ナイトガード)を就寝中に装着する方法であり、歯ぎしりによる歯やあごの関節への負担を軽減することを目的としています。
スプリントは自分の歯に合わせて作成されるため違和感が少なく、装着して眠ることで上下の歯が直接接触するのを防げます。歯がすり減っている・あごが痛む・朝起きたときに顎の疲れを感じるといった症状がある方には有効な治療法です。
歯ぎしりが原因で頭痛や肩こりが起きている場合にも、スプリント療法によって症状が緩和されることがあります。
薬物療法
歯ぎしりの背景にストレスや不安、睡眠の問題がある場合には、歯科医師の判断のもとで睡眠薬や筋弛緩剤などが処方されることがあります。こうした薬は歯ぎしりそのものを止めるものではありませんが、原因とされる心理的・身体的要因の軽減に役立ちます。
自宅でできる歯ぎしり対策

歯ぎしりは無意識のうちに行われることが多いため、すぐにやめるのは難しいかもしれません。しかし、日常生活のなかでできる対策を習慣化すれば、症状の軽減や予防につながります。
例えば、ストレスを感じたときに意識して深呼吸をすることが非常に効果的です。リラックスすることで、歯ぎしりの頻度が減る場合があります。
また、歯ぎしりの多くは寝ている間に起こるため、就寝前の過ごし方を工夫することが重要です。スマートフォンやパソコンの画面を寝る直前まで見ていると、脳が興奮状態のまま眠りにつくため、歯ぎしりが起こりやすくなるとされています。就寝前はテレビやスマートフォンの使用を控え、リラックスできる音楽を聴いたり軽くストレッチをしたりすると良いでしょう。
ただし、セルフケアだけで歯ぎしりを完全になくすことは難しいため、気になる方は歯科医院で診てもらい指示に従うことが大切です。
まとめ

歯ぎしりは、単なる癖だと思って放置していると、歯や顎関節に深刻なダメージを与える原因になります。特に、歯並びが悪いことが歯ぎしりの要因となっている場合、噛み合わせの不調和がさらに症状を悪化させる悪循環に陥ることがあります。歯ぎしりによって歯がすり減ったりひびが入ったりすると、最悪の場合には歯を失うことにもつながります。
また、歯ぎしりはストレスや生活習慣、睡眠の質とも密接に関係しているため、総合的なアプローチが必要です。歯ぎしりの改善には、歯科医師による診断が必要です。マウスピースによる対症療法に加え、歯並びやストレスの改善を目指すことで、さらに効果が得られるでしょう。
毎日の生活習慣や体の使い方を見直すことで、歯ぎしりの悩みを軽減できるかもしれません。
歯ぎしりにお悩みの方は、愛知県豊橋市にある三宅歯科医院にお気軽にご相談ください。
当院では、予防歯科とマウスピース矯正に力を入れています。虫歯・歯周病治療やホワイトニング、入れ歯治療、インプラント治療なども行っています。
当院のホームページはこちら、WEB予約も受け付けておりますのでご覧ください。公式Instagramも更新しておりますので、ぜひチェックしてみてください。






お電話